Médicos hallaron un hueco de aire en el cerebro de un hombre
El sujeto de 84 años acudió a un hospital porque se sentía mal.
Su historial clínico no indicaba antecedentes extraños, pues no fumaba ni bebía.
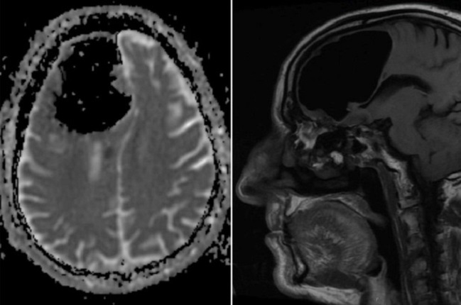
Un hombre de 84 años sorprendió a un grupo de médicos que hallaron un gran hueco de aire en el lugar donde debería ir su cerebro.
Según informó Washington Post, el espacio anormal medía cerca de nueve centímetros y es algo común en pacientes que han tenido cirugía cerebral, aunque en tamaños mucho menores. El fenómeno también podría producirse por infecciones nasales o por golpes faciales.
Pero el caso de este hombre dejó perplejos a los médicos que publicaron sobre ello en la revista BMJ Reports.
Allí explicaron que el sujeto llevaba algunas semanas sintiéndose débil y sufriendo caídas, junto a dolencias relativamente comunes para su edad. Su historial clínico no mostraba antecedentes graves, pues no fumaba, ni bebía, y sus exámenes de sangre tuvieron resultados normales.
No fue hasta que le realizaron tomografías cuando notaron el hueco de aire en el lóbulo frontal derecho de su cabeza: una parte de su cerebro estaba desaparecida.
“¡Estábamos todos perplejos por las imágenes! En mi investigación no encontré muchos casos similares a este”, dijo al Washington Post Finlay Brown, médico que estaba trabajando en el hospital que recibió a este hombre.
“Pese a ello estaba sano y bien, era independiente, hacía actividades físicas diariamente, y vivía junto a su esposa y dos hijos”, señalaba la publicación en BMJ.
Según los médicos, el sujeto sufrió un ataque isquémico transitorio que provocó el fenómeno dentro de su cráneo. Ante ello, le ofrecieron varias opciones de operarlo, pero las rechazó por el riesgo que suponían para un hombre de su edad.
El paciente recibió medicamentos para evitar sufrir un accidente cerebrovascular y fue enviado a su hogar con la promesa de acudir a la consulta médica periódicamente.
