Tópicos: Sociedad | Sucesos

Médicos británicos extrajeron lápiz que mujer se tragó hace 25 años

Publicado:
Autor: Cooperativa.cl

Observaba unos puntos blancos en sus amígdalas cuando ingirió el objeto.

Fue extraído por medio de un procedimiento endoscópico que requirió anestesia total.

contenido de servicio
Llévatelo:

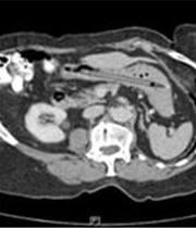
Médicos británicos extrajeron del estómago de una mujer un bolígrafo que se tragó por error hace 25 años y que todavía escribe, según desvela la revista científica British Medical Journal (BMJ).

ImagenLa mujer, de 76 años y cuya identidad no fue revelada, vio hace un cuarto de siglo cómo el bolígrafo que estaba utilizando ante un espejo para observar unos puntos blancos en sus amígdalas se deslizaba accidentalmente a través su garganta.

El examen con rayos X que los médicos le realizaron entonces no mostraba el bolígrafo, por lo que nadie creyó la historia que relataba la mujer, señala el artículo del BMJ, y el utensilio permaneció alojado en su estómago hasta ahora.

Este año, una nueva revisión sí detectó el bolígrafo, que fue extraído por medio de un procedimiento endoscópico que requirió anestesia total.

Los médicos se sorprendieron al comprobar que el bolígrafo todavía escribía y adjuntaron en el informe que enviaron a la revista científica una imagen que muestra la palabra "Hello" ("Hola") escrita en un papel con el utensilio.

El bolígrafo no causó ningún daño en el estómago de la mujer, a pesar de que el objeto puntiagudo pasó mucho tiempo en el interior de su cuerpo.

En el artículo del BMJ que describe este inusual caso médico, los doctores exponen sus conclusiones a partir del error que impidió detectar el bolígrafo hace 25 años.

"Los rayos X aplicados a la región abdominal pueden no detectar objetos de plástico que hayan sido ingeridos, por lo que en ocasiones hay que confiar en la palabra del paciente, por extraño que pueda parecer lo que cuenta", señala BMJ en su artículo.

LEER ARTICULO COMPLETO

Suscríbete a nuestro newsletter