Nueva terapia logra curar al 94 por ciento de pacientes de un tipo de leucemia aguda

Publicado:
Autor: Redacción Cooperativa

Combina el trióxido de arsénico y el ácido retinoico.

Los enfermos permanecen sanos cinco años después de recibir el tratamiento.

contenido de servicio
Llévatelo:

Un tratamiento experimental que combina el trióxido de arsénico y el ácido retinoico, la forma ácida de la vitamina A, puede convertirse en la terapia de referencia para los pacientes de un tipo de leucemia aguda tras demostrar su capacidad de hacer remitir por completo la enfermedad en el largo plazo, según publicó la revista PNAS.

La terapia, que ya había demostrado antes su efectividad en el corto plazo, ha hecho posible que la inmensa mayoría de un grupo de pacientes con leucemia promielocítica aguda -que supone el 10 por ciento de los casos de leucemia mieloide en adultos y el uno por ciento de la misma enfermedad en niños- se hayan mantenido libres de la enfermedad a lo largo de los cinco años que ha durado el estudio.

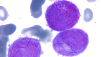
Imagen
Imagen al microscopio de leucemia promielocítica aguda. (Foto: Ana Merino)

El estudio

Los investigadores, encabezados por Zhu Chen, del Instituto de Hematología de Shanghai (China), dieron el tratamiento a los 85 pacientes, que estaban recién diagnosticados, desde abril de 2001 hasta diciembre de 2005.

Tras el ensayo, confirmaron que 80 de los pacientes -el 94 por ciento del total- había experimentado una "remisión completa" de los síntomas de la enfermedad, sin presentar carcinomas de tipo secundario ni tampoco problemas en el corazón o los pulmones.

Además, dos años después de la última dosis del nuevo tratamiento, los pacientes mantenían la concentración de arsénico por debajo de los límites de seguridad.

"Los resultados confirman la elevada eficacia y baja toxicidad de este tratamiento en el largo plazo", indican los autores, que creen que esta terapia debe ser la primera opción para los pacientes de este tipo de leucemia.

Tipo de leucemia

Hace 50 años, la leucemia promielocítica aguda estaba considerada la peor de todas y de hecho no tenía tratamiento.

Posteriormente la aparición de las antraciclinas en la década de los setenta del siglo pasado supuso un importante paso adelante, al permitir a los pacientes una supervivencia de hasta cinco años, aunque fue el empleo del ácido retinoico lo que revolucionó el abordaje de este carcinoma.

Así, el uso conjunto de la vitamina A con la quimioterapia logró aumentar al 74 por ciento el porcentaje de los pacientes que lograban estar cinco años libres de la enfermedad.

LEER ARTICULO COMPLETO

Suscríbete a nuestro newsletter