¿Es justificada la moda de las dietas sin gluten?
La BBC profundizó en el fenómeno alimenticio que lleva a millones a renunciar a esta proteína.
Una serie de académicos se ha enfrentado en torno a los supuestos peligros del gluten.
La BBC profundizó en el fenómeno alimenticio que lleva a millones a renunciar a esta proteína.
Una serie de académicos se ha enfrentado en torno a los supuestos peligros del gluten.
Millones de personas alrededor del mundo están renunciando al gluten. El autor William Kremer es uno de ellos. Y tiene sus razones para haber dejado de comprar el pan y los pasteles tradicionales. Pero no está seguro de por qué lo hacen los demás, como escribe a continuación.
Esta es la manera en la que liberas tu vida del gluten. Primero, retiras el pan, la harina y los cereales de trigo del desayuno. Tiras frascos abiertos de mermelada y tarrinas de margarina por si tuviesen migas.
Millones de personas están haciendo todo esto y probablemente mucho más a medida que van convirtiendo sus cuerpos en zonas libres de gluten.
Alrededor de 70 millones de estadounidenses -el 29% de la población adulta- aseguran que están tratando de cortar el consumo de gluten, según la empresa de investigación de mercados NDP.
En Reino Unido, por ejemplo, el 60% de los adultos han comprado un producto sin gluten, de acuerdo a los datos de la encuestadora aYouGov, y un 10% de los hogares tienen algún miembro que piensa que el gluten es malo para la salud.
Uno de estos 2,6 millones de hogares es el mío. En febrero, Sam, mi hijo de 21 meses fue diagnosticado de celiaquía.
Los seres humanos generalmente tienen mucho que agradecerle al gluten. Convierte el pan en un producto más suave y esponjoso al hacer que la masa se eleve durante la cocción.
Pero es la única de las proteínas que no puede ser descompuesta por completo por el cuerpo humano y convertida en aminoácidos.
Lo más que podemos hacer es dividirla en cadenas de ácidos llamados péptidos.
Estos simplemente pasan a través del cuerpo de la mayoría de la gente, pero los celíacos están genéticamente predispuestos a alertar sobre ellos al sistema inmunológico, el cual cree que está siendo atacado por microbios.
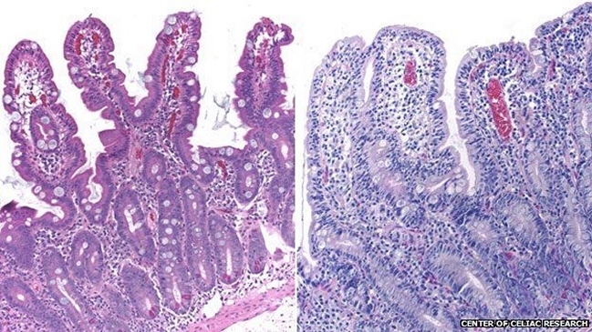
Una guerra comienza, y hay daños colaterales: una reducción de las vellosidades, filamentos con forma de finos dedos que recubren el intestino delgado y absorben los nutrientes hacia el flujo sanguíneo.
A medida que se atrofian, su superficie disminuye y no pueden hacer su trabajo apropiadamente.
La enfermedad celiaca es bastante común. Afecta a alrededor del 1% de las personas del mundo desarrollado, pero no es suficiente para explicar la creciente popularidad de la dieta sin gluten.
Según la empresa de estudios de mercado Mintel, el 7% de los adultos de Reino Unido evitan el gluten a causa de una alergia o una intolerancia (estrictamente hablando, la enfermedad celiaca no es ninguna de las dos cosas), y más de un 8% lo evitan como parte de "un estilo de vida saludable".
Este punto de vista, según el cual el gluten no es sólo malo para celiacos como Sam sino para todo el mundo, es apoyado por una corriente de blogueros, nutricionistas que venden best sellers y famosos. Un informe de Mintel valora en casi US$9.000 millones el mercado estadounidense de productos sin gluten.
Un vistazo a las búsquedas en Internet en los últimos años sugiere que el aumento de interés en las dietas sin gluten tiene poco que ver con una creciente conciencia de la enfermedad celíaca, y mucho que ver con la popularidad de las dietas "paleo": el movimiento alimenticio que busca que la humanidad vuelva a la Edad de Piedra, al menos en cuanto a la dieta se refiere.
La existencia de la sensibilidad al gluten sigue en discusión, pero el doctor Alessio Fasano, director del Centro de Investigación Celíaca en Estados Unidos, es un firme creyente.
En 1993, Fasano asumió como director de gastroenterología pediátrica en la Universidad de la Escuela de Medicina de Maryland. Era un joven médico procedente de Nápoles, Italia, donde había visto al menos 20 ó 30 niños a la semana con trastorno celíaco.
En Estados Unidos era otra historia. "Pasaban los días, las semanas, los meses, y no veía un solo caso de celiaquía. Ni uno", recuerda. Posteriormente averiguó que era una cuestión de mal diagnóstico.
Aunque sus colegas eran escépticos, puso en marcha un gran estudio epidemiológico con 13.000 personas que ayudó a cambiar las cifras: de una prevalencia calculada en una de cada 10.000 personas afectadas por la enfermedad, pasó a una de cada 133. Su clínica trata actualmente a más de 1.000 pacientes al año.

A diferencia de la alergia al trigo y la celiaquía, la sensibilidad al gluten no tiene una serie de biomarcadores conocidos, es decir, los médicos no pueden saber si un paciente la sufre con un examen (hay una prueba de sangre pero no aporta resultados precisos para muchos pacientes).
Así que sólo se puede diagnosticar eliminando otros trastornos y después probando una dieta sin gluten.
Aunque el gluten no tiene valor nutritivo en sí mismo, hacer un cambio radical en la dieta sin la supervisión de un especialista es una mala idea, insiste Fasano.
"Dejar de ingerir gluten te priva de muchos elementos clave en la dieta, como vitaminas y fibras que necesitan ser compensadas para mantener una nutrición equilibrada", sostiene.
Parte de la controversia en torno a la sensibilidad al gluten nace de la dificultad para distinguir los beneficios que cualquiera puede experimentar al adoptar una dieta sin gluten del efecto placebo (el poder de las expectativas del paciente de que el tratamiento conducirá a la cura).
La falta de biomarcadores físicos para la sensibilidad al gluten también significa que es difícil saber cuántas personas están afectadas.
El cálculo de Fasano, al cual ha llegado estudiando el historial de los pacientes, es del 6%, una cifra más alta que el 1% de celíacos.
Pero con un 29% de adultos estadounidenses que intentan evitar el gluten, hay un 22% -53 millones de personas- que no están en el espectro de sufrir enfermedades relacionadas con el gluten pero que aun así dicen que quieren eliminarlo de su dieta.
En 2013, se pidieron 200 millones de comidas sin gluten en los restaurantes, según datos del NPD.
"Nos hemos estado rompiendo la cabeza para entender este fenómeno social", explica Fasano.
"Empezamos esta cruzada, por decirlo así, para sensibilizar a la comunidad estadounidense sobre la existencia de la celiaquía. No nos dimos cuenta de que este péndulo se iba a descontrolar e iba a ir hasta el otro extremo".
Cuando le pregunto si adoptar una dieta sin gluten puede ayudar a alguien a perder peso, Fasano se ríe.
"Si empiezas una dieta sin gluten, y tomas o comes sustitutos como cerveza sin gluten, o pasta, galletas, etc., lo que harás será subir de peso. Una galleta común tiene 70 calorías. La misma galleta, sin gluten, puede subir hasta 210 calorías.
"Tienes que sustituir el gluten con algo que haga que esa galleta sea comestible, por lo que la cargas con grasas y azúcares. Toma en cuenta esto: un gramo de proteína contiene cuatro calorías; un gramo de grasa, nueve".
Pero, añade, puede ser posible perder peso con una dieta sin gluten si se eligen productos naturales como pescado fresco, carne, verduras y fruta.
Dos libros muy populares –Wheat Belly (Panza de trigo) de William Davis, y Grain Brain (Mente de granos) de David Perlmutter- han sido especialmente importantes a la hora de alertar a los estadounidenses sanos sobre los "peligros" del trigo y el gluten.
Ambos libros hacen referencia a la investigación de Fasano, pero el experto dice que están llenos de exageraciones y generalizaciones ("El gluten y los carbohidratos están destruyendo tu cerebro", se lee en la contraportada del libro de Perlmutter).
Frustrado por esta cobertura sensacionalista, Fasano publicó su propio libro el año pasado: Gluten Freedom (Libertad del gluten), escrito con Susie Flaherty.
Dice que comer gluten no supone ningún riesgo para las personas que están fuera del espectro de enfermedades relacionadas con este elemento, y la mayoría de los expertos está de acuerdo con él.
"Cuando tenemos algo como el gluten, es muy importante dejar que la ciencia sea lenta y humilde", dice otro experto en la materia, Alan Levinovitz.
Académico especializado en religión y literatura, puede parecer extraño que Levinovitz se haya involucrado en el debate sobre el gluten.
Pero dice que ve la moda contra el gluten como una combinación entre los poderosos mitos de un paraíso pasado con una actitud anticorporativa hacia la industria alimentaria.
En su nuevo libro, The Gluten Lie (La mentira del gluten), Levinovitz señala que no es la primera vez que un tratamiento para celíacos se pone de moda. Ya ocurrió en las décadas de 1920 y 1930.
Muchos de los famosos que han abandonado el gluten -una lista que incluye a Gwyneth Paltrow, Miley Cyrus y Victoria Beckham- dicen que no han eliminado el gluten de sus dietas por diversión, sino porque tienen intolerancia, algo que usualmente se detecta con la ayuda de un nutricionista o un gurú de la salud.
En su libro, Levinovitz habla también del efecto "nocebo": la idea de que creer que algo te puede hacer daño genera de verdad efectos negativos.
¿Puede ser que una gran parte de EE.UU. se encuentre bajo lo que los médicos llaman una "enfermedad masiva sociogénica" cuando se trata del gluten?
A la gente no le gusta que le digan que su enfermedad está sólo en su mente.
Levinovitz sabía que iba a recibir fuertes críticas por su libro, pero le impactó la cantidad de mensajes cargados de odio que recibió.
"Si le dices a alguien, 'Oye, los científicos acaban de descubrir que Plutón no es un planeta', a nadie le importa. Sólo dicen '¡oh! ¿es un meteorito? ¡Genial!'". Pero, añade, hablarle a la gente sobre mitos de la comida es como atacar su identidad.
"Es aterrador pensar que podemos no entendernos a nosotros mismos. Que podemos estar equivocados sobre nuestros cuerpos y sobre los efectos de lo que ponemos en ellos.
"Mirando hacia atrás, ojalá mi tono hubiera sido menos burlón, un poco más sensible".
Pero Levinovitz cree firmemente que la moda del sin gluten no está libre de peligros.
Muchos pacientes que lidian con desórdenes alimentarios, sostiene, empezaron su declive con dietas de exclusión.
Hay pruebas que sugieren que una ansiedad extrema sobre lo que comemos puede conducir a síntomas que no son diferentes a aquellos de la sensibilidad hacia el gluten.
Pero al menos ya no es un tema tabú o desconocido.
Según crece, mi pequeño se beneficiará de un abanico y una calidad sin precedentes de productos alimentarios para su condición.
Es también fantástico que cuando dices en cafés y restaurantes que el niño no come gluten, la gente sabe de qué estás hablando.