EE.UU. aprobó fármaco para tratar variante de la fibrosis quística
Servirá a los pacientes que portan la mutación G551D en el gen CFTR.
Ese tipo de fibrosis afecta al 4 por ciento de los cerca de 300 mil pacientes con la enfermedad.
Servirá a los pacientes que portan la mutación G551D en el gen CFTR.
Ese tipo de fibrosis afecta al 4 por ciento de los cerca de 300 mil pacientes con la enfermedad.
Las autoridades sanitarias estadounidenses aprobaron un medicamento para tratar una variante poco común de la fibrosis quística, que afecta a los pacientes que portan la mutación G551D en el gen CFTR (factor regulador de la fibrosis quística).
La Administración de Alimentos y Medicinas de Estados Unidos (FDA, por su sigla en inglés) aprobó el medicamento Kalydeco de la compañía Vertex Pharmaceuticals Inc. para pacientes con este tipo de fibrosis quística, que en Estados Unidos afecta al 4 por ciento de los cerca de 300.000 pacientes con fibrosis quística.
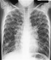
La fibrosis quística es un trastorno multisistémico que causa la formación y acumulación de un moco espeso, que afecta principalmente a los pulmones, intestinos, páncreas e hígado, que causa dificultad para respirar y puede derivar en infecciones pulmonares crónicas, problemas digestivos y otras complicaciones como diabetes.
En el caso de los enfermos que padecen la llamada mutación G551D, tienen una proteína defectuosa que causa desequilibrios en el flujo de cloro y agua a través de las membranas celulares, lo que provoca la acumulación de esa mucosidad.
Kalydeco es una píldora que se toma dos veces al día ingerida con alimentos que contengan grasa y ayuda a mejorar la función de la proteína producida por el gen CFTR y, en consecuencia, mejora la función pulmonar y otros aspectos relacionados con la fibrosis quística como el aumento de peso.
La FDA, que aprobó la píldora para pacientes a partir de los seis años, subraya que sólo es efectiva para los pacientes que portan la mutación G551D y no funciona con los pacientes que tienen dos copias de la mutación F508 en el gen CFTR, que es la más común en los pacientes con fibrosis.