Hombre se rompió la garganta por aguantar un estornudo
Tapó su boca y nariz para intentar sellarlo y terminó en la sala de urgencias.
Tapó su boca y nariz para intentar sellarlo y terminó en la sala de urgencias.
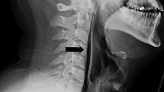
Aguantar o reprimir un estornudo puede tener serias consecuencias para la salud, tal fue el caso de un hombre sano de 34 años en Reino Unido que terminó siendo trasladado a urgencias con un agujero en la garganta.
El británico tapó su boca y nariz para intentar reprimir un estornudo fuerte, pero sintió un sonido extraño en su cuello e inmediatamente tuvo dolor junto con dificultades para hablar y tragar, pues perforó los tejidos al interior de su cuello, según reportó la revista British Medical.
En la publicación advierten los riesgos de tapar un estornudo, que además podrían implicar daños a los oídos o incluso un aneurisma.
De acuerdo con BBC, el sujeto afectado por el quiebre de su faringe debió ser hospitalizado por siete días y alimentado a través de un tubo, pero fue dado de alta y se recuperó sin problemas.
